Actinic Keratosis Atlas
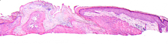
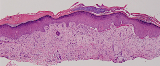
VA1: Left Forearm, Actinic Keratosis
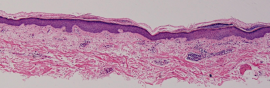
VA1: Right Forearm, Normal
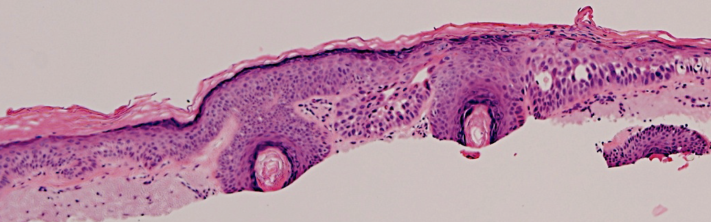
VA34: Right Temple, Actinic Keratosis, Hypotrophic, Focally reaching the base.
- White arrow denotes hair follicle
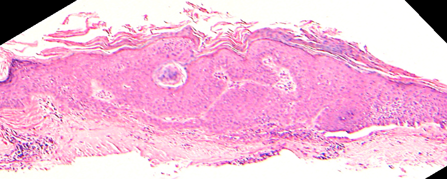
VA34: Right Temple, Adjacent, Normal
- Note normal hair follicle presentation
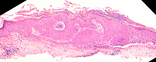
VA35: Left Temple, Actinic Keratosis, Hypertrophic
- White arrows indicate return to dermal collagen texture and reflectivity
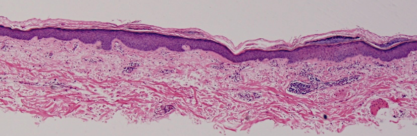
VA35: Left Temple, Adjacent, Normal
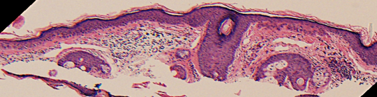
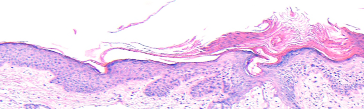
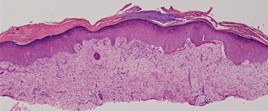
VA38: Upper Forehead, Left of Midline, Actinic Keratosis, Hypertrophic
- Arrows indicate base of epidermal thickening
VA36: Upper Forehead, Left of Midline, Adjacent, Normal
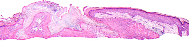
VA71: Right Lateral Canthus, Actinic Keratosis
VA71: Right Lateral Canthus, Adjacent, Normal
VA87: Right Forearm, Actinic Keratosis, Hypertrophic, Small Focus, Underlying Scar
VA87: Right Forearm, Adjacent, Normal
VA90: Central Chest, Actinic Keratosis
VA90: Central Chest, Adjacent, Normal
VA97: Right Cheek, Actinic Keratosis
VA97: Right Cheek, Adjacent, Normal
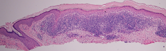
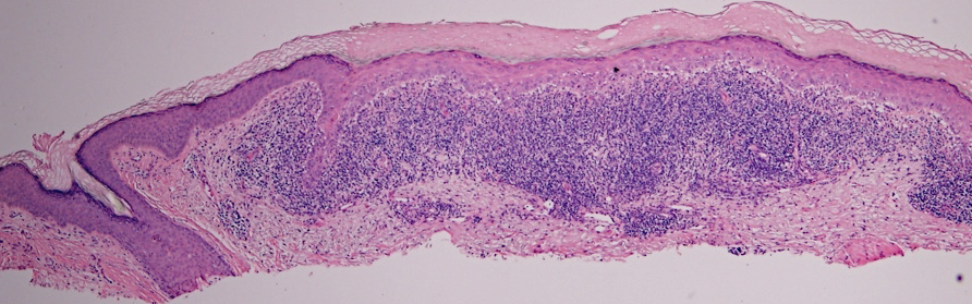
VA150: Left Elbow, Actinic Keratosis, Inflamed
- * denote area of inflammation
VA150: Left Elbow, Adjacent, Normal
VA183: Right Cheek, Actinic Keratosis, Hypertrophic, Ulcerated
- Arrows indicate base of epidermal thickening
VA183: Right Cheek, Adjacent, Normal





































Leave a comment
You must be logged in to post a comment.