Nevi Atlas
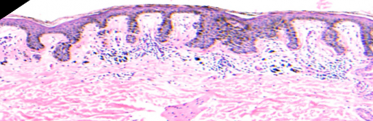
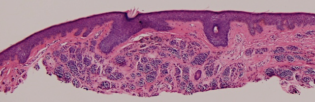
VA40: Right Upper Arm, Compound Melanocytic Nevus, Clarks
VA40: Right Upper Arm, Adjacent, Normal
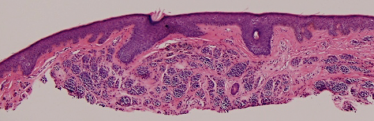
VA43: Right Nasal Ala, Intradermal Melanocytic Nevus
VA43: Right Nasal Ala, Adjacent, Normal
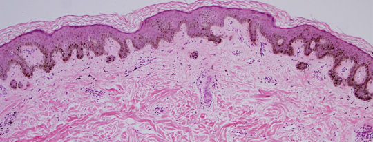
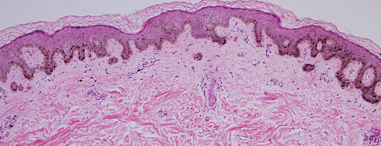
VA118: Nose, Intradermal Melanocytic Nevus
VA118: Nose, Adjacent, Normal
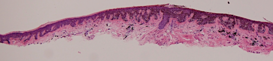
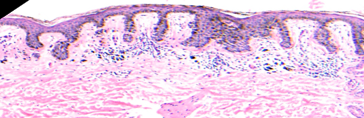
VA121: Left Mandibular Ramus, Junctional Melanocytic Nevus, Dysplastic
- Arrows indicate rete elongations
VA121: Left Mandibular Ramus, Adjacent, Normal
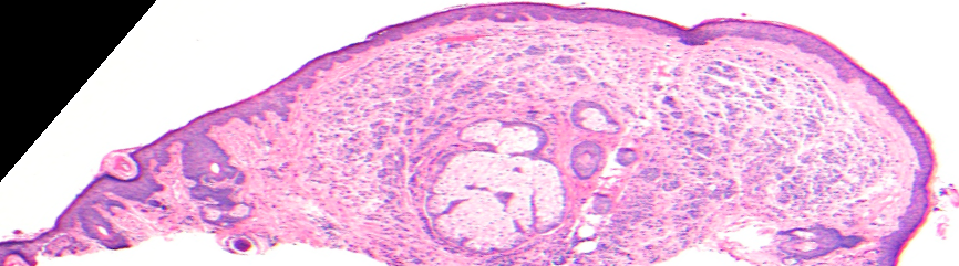
VA200: Left Upper Arm, Combined Nevus
VA200: Left Upper Arm, Adjacent, Normal
















Leave a comment
You must be logged in to post a comment.