Nodular BCC Atlas
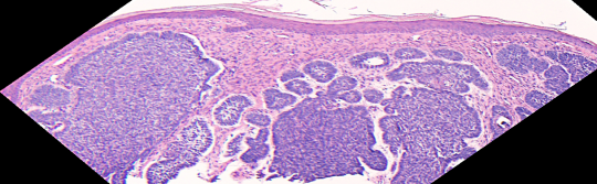
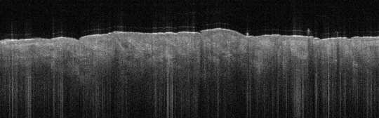
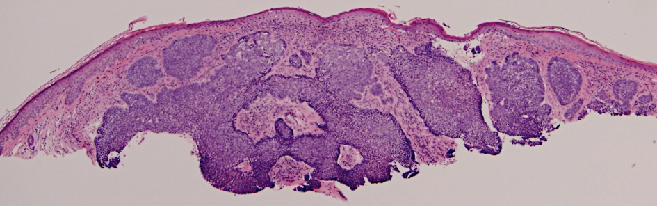
VA33: Superior Nasal Ala, Basal Cell Carcinoma, Nodular
- * indicate areas of necrotic cells not yet undergone liquifactive necrosis
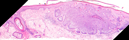
VA33: Superior Nasal Ala, Bilateral, Normal
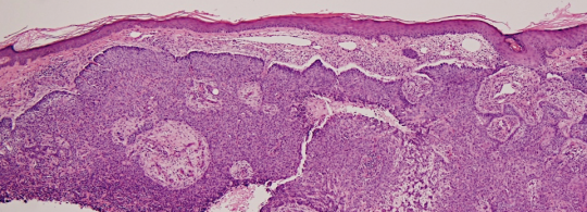
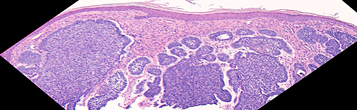
VA54: Left Superior Temple, Basal Cell Carcinoma, Nodular
- * denotes area of liquifactive necrosis with remnant necrotic cell debris
VA54: Left Superior Temple, Adjacent, Normal
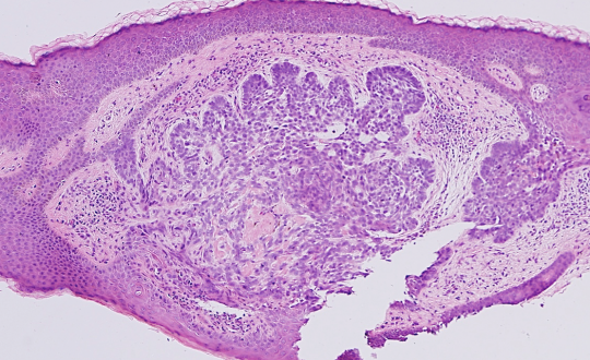
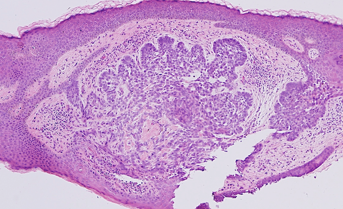
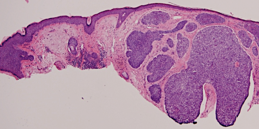
VA94: Right Forehead, Basal Cell Carcinoma, Nodular
- * denote hyporeflective nest structures, arrows indicate bands of collagen compression between adjacent nests
VA94: Right Forehead, Adjacent, Normal
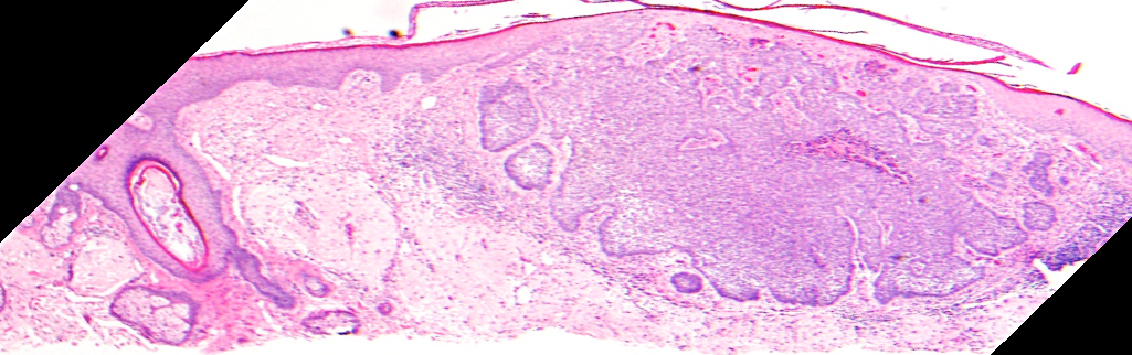
VA115: Right Cheek, Basal Cell Carcinoma, Nodular
- * indicates area of liquifactive necrosis/cyst with remnant necrotic cell debris
VA115: Right Cheek, Adjacent, Normal
VA117: Left Temple, Basal Cell Carinoma, Nodular
- Arrows indicate upper contour of basal cell nest
VA117: Left Temple, Adjacent, Normal
VA207: Left Antecubital Fossa, Basal Cell Carcinoma, Nodular
VA207: Left Antecubital Fossa, Adjacent, Normal























Leave a comment
You must be logged in to post a comment.